Categories | News & Politics Article

Medical Malpractice Lawsuit Filed Against WellStar Kennestone Hospital

February 21st, 2024 News & Politics 4 minute read
Article Image

Medical Malpractice Lawsuit Filed Against WellStar Kennestone Hospital

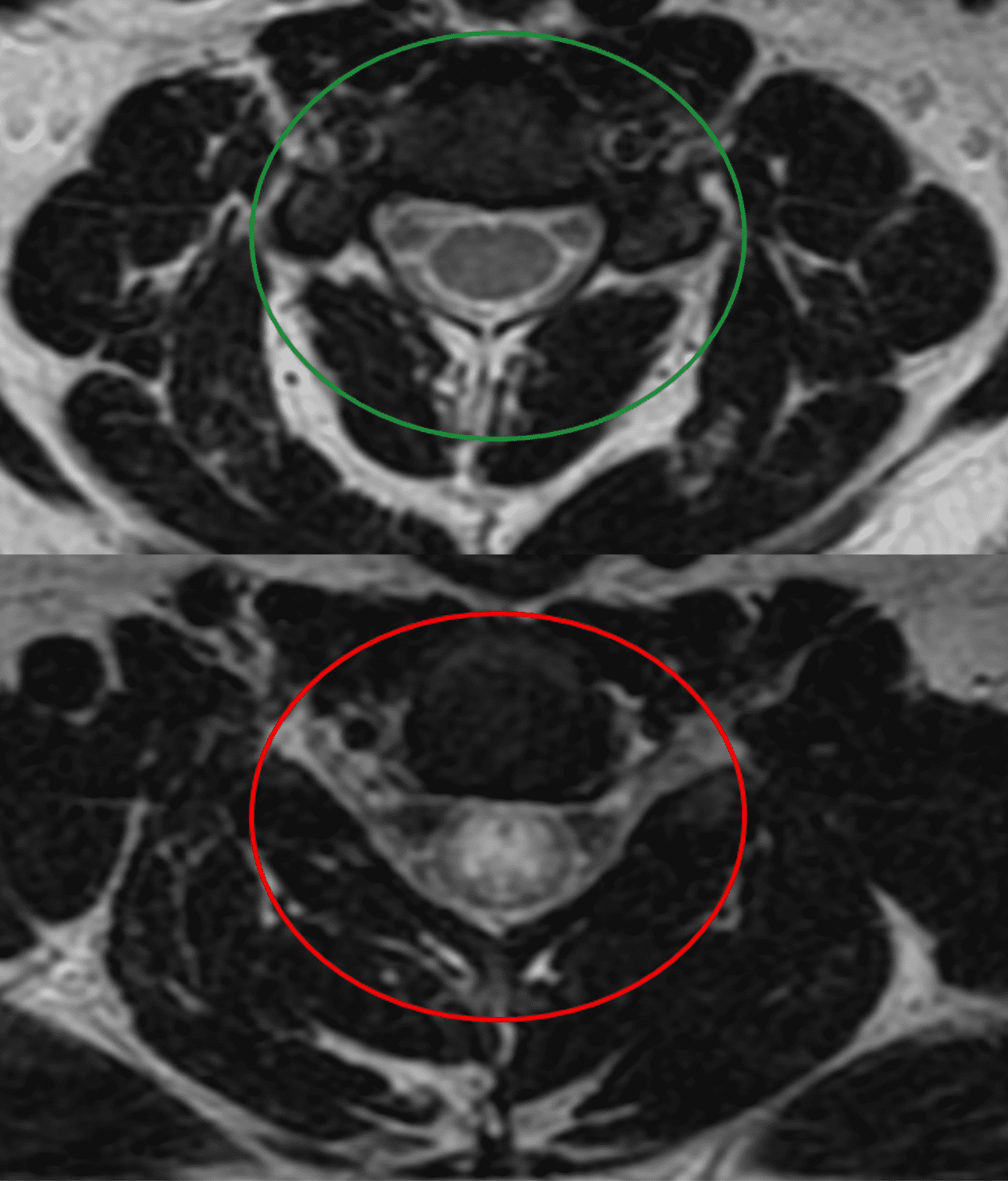
Damien Robinson, a 19-year old resident of Paulding County, Georgia, secured Bell Law Firm to file a medical malpractice action in Dekalb County against WellStar Kennestone Hospital. In March of 2018, two doctors employed by WellStar Medical Group failed to properly diagnose Robinson’s spinal cord injury — treating it instead as a psychiatric problem. The spine injury could have been treated in time but was not treated. The medical failure leaves Damien Robinson with permanent neurological injuries.At 18 years old, Damien Robinson was normally healthy and athletic. Out of nowhere one day, he suffered neurological symptoms including chest pain, weakness, sensory loss and numbness in his feet. Damien’s mother took him to the Emergency Department (ED) at WellStar Kennestone.For a healthy young man, symptoms like these have a short list of potential causes. At the top of the list sits transverse myelitis, a condition causing inflammation along a section of the spinal cord. Doctors can usually treat transverse myelitis simply by giving the patient high-dose steroids for the inflammation. If treated promptly, symptoms from transverse myelitis generally subside, leaving no permanent injury.In fact, Damien did have transverse myelitis. But the WellStar Kennestone doctors did not consider or treat it.The ED doctor ordered the wrong diagnostic test. The ED doctor should have ordered MRI scans of the full spine, with IV contrast. That would have revealed the transverse myelitis. Instead, the ED doctor ordered MRI scans without contrast, which didn’t help.

Magnetic Resonance Imaging (MRI) machine; image by Jarmoluk, via Pixabay.com.Magnetic Resonance Imaging (MRI) machine; image by Jarmoluk, via Pixabay.com.

The ED doctor then consulted a neurologist, Dr. James Armstrong. Dr. Armstrong — along with neurology Physician Assistant Elizabeth Bleakley — also failed to order the necessary MRI with contrast.Instead of investigating and treating the transverse myelitis, Dr. Armstrong diagnosed Damien with conversion disorder. Conversion disorder is a psychiatric problem whereby the brain manufactures what appear to be spinal and neurological symptoms, but which do not arise from physical problems in the spinal cord. Conversion disorder is a residual diagnosis – sometime referred to as a “garbage diagnosis,” because doctors can only resort to a conversion disorder after ruling out all physical (non-psychiatric) causes of the symptoms.Dr. Armstrong and PA Bleakley did not rule out the most obvious potential cause of Damien’s symptoms — transverse myelitis — before resorting to a conversion disorder diagnosis.“To prematurely diagnose someone of conversion disorder is dangerous because it can lead medical providers to abandon investigation and proper treatment of actual physical causes,” states Lloyd Bell. “If an incorrect conversion-disorder diagnosis is made, then a physical problem may remain untreated, leading to unnecessary harm to the patient. That’s exactly what we see here with Damien.”Because of the doctors at WellStar Kennestone, Damien’s transverse myelitis went untreated for days and cost him his chance of a normal or partial recovery.Plaintiff Damien Robinson seeks compensatory damages, as well as damages for medical costs and other damages including physical, economic and emotional injuries.“In this case, both Dr. Armstrong and PA Bleakley failed my client,” comments Bell. “The standard of care required them to investigate whether Robinson suffered from transverse myelitis and to treat him with high dose steroids. They failed to do their job and uphold that standard. I want the public to be aware of the risk of malpractice and misdiagnosis when experiencing neurological symptoms. This improper diagnosis robbed Damien of many able-bodied years, and these health providers should be held accountable.”For more information about Bell Law Firm’s success in helping victims of medical malpractice, visit: www.belllawfirm.com/results.About Bell Law FirmBell Law Firm is Georgia’s preeminent firm for victims of medical malpractice. Founded in 1999 by Lloyd Bell, the firm has recovered more than $100 million for patients and families of people injured or killed due to medical negligence. Bell has more than 25 years of experience in federal and state courts, and he has represented clients in more than 75 jury trials and hundreds of successful settlements. Specializing in litigating misdiagnoses, surgical errors, and other types of malpractice, Bell Law firm differentiates itself with deep legal expertise, a mastery of technology in the courtroom and a compelling manner of storytelling. In 2018, Daily Report, the leading source of legal news in Atlanta, named Bell Law Firm as Personal Injury Litigation Team of the Year. 
Press Release

About Press Release

This post is an authorized copy of a press release and was not written by LegalReader.

Related Articles